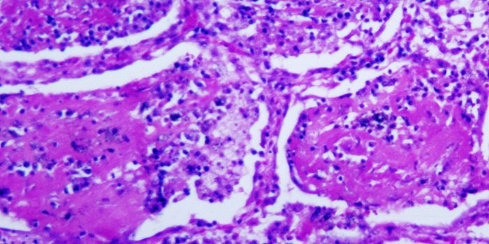
Dozens Are Sickened by a Rare Fungal Infection in Tennessee​

Dozens Are Sickened by a Rare Fungal Infection in Tennessee​

Dozens Are Sickened by a Rare Fungal Infection in Tennessee​

 One person who contracted it died. The fungus is commonly found in soil in the Ohio River and Mississippi River valleys, and the illness is not contagious.  

Creator: The New York Times (NYTHealth)

Related Posts

Pandemic Preparedness and Resilience After COVID-19
Pandemic Preparedness and Resilience
Major One Health Conferences to Attend in April 2026
One Health Conferences April 2026
Global Obesity Prevention in a Changing World
Global Obesity Prevention

Most Recent

Spheres of Focus

Infectious Diseases

Climate & Disasters

Food &
Water

Natural
Resources

Built
Environments

Technology & Data

Featured Posts